欢迎光临西安交通大学第一附属医院榆林医院网站!

今天是

您现在的位置: 首页> 新闻中心>新闻动态

【国家区域医疗中心·名医在身旁】魏炜: 小探头诠释大医精诚

发布者:宣传教育科来源:西安交大一附院榆林医院发布时间:2024/4/23 8:35:00阅读:3022字体:默认

西安交大一附院派驻榆林医院超声医学科魏炜教授,凭借踏实的工作作风、严谨的工作态度和精湛的技术水平,利用自身深厚功底和丰富临床经验,依托西安交大一附院各种资源优势,助力提升榆林医院超声医学科的诊疗能力和管理水平不断迈上新的台阶。 

他深入多个临床科室,主动和临床医生充分沟通,取得信任和支持。注重与患者之间的交流与沟通,增加了患者对治疗的信心,短时间内成功完成了数十例高难度复杂的超声介入诊疗操作,包括肿瘤射频消融、腹膜后胰腺等高风险部位精准穿刺活检术、难治性甲状腺出血性囊肿硬化治疗。并积极参于病区会诊,为重症病人进行高难度穿刺置管等,极大提高了临床病人诊疗准确率和满意度,实现了精准微创治疗。

病例一:

魏教授在进行超声引导下经皮肝脏肿瘤射频消融术

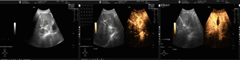
肿瘤科病区一名68岁的患者胰腺肿瘤术后肝脏转移,肿瘤位于肝脏S3段,大小31x30mm,被门静脉左外支上段、左外支下段及左支矢状部三面包绕,穿刺风险较高,经魏炜教授严谨会诊及精准规划定位,完美避开肿瘤周围血管,采用功率120W,累计用时10分钟完成射频消融,消融后即刻超声造影显示消融范围完全覆盖原肿瘤区域,解除了患者疾患,且整个过程患者无明显不适,实现了微创治疗。

病例二:

超声引导下经皮、经胃胰腺体尾部实性占位穿刺活检及穿刺病理结果

肿瘤科病区另一名68岁男性患者,超声及CT均提示胰腺体尾部占位,考虑恶性肿瘤,因肿瘤位置较深,位于胃后,且邻近脾动脉及脾静脉,穿刺风险较高,经魏炜教授周密评估后,在患者胃肠准备后行超声引导下经皮、经胃胰腺体尾部实性占位穿刺活检术,术后无并发症发生,在确保患者安全的同时,实现了精准穿刺活检,病理提示:纤维组织内见中分化腺癌浸润,为患者后续的精准治疗提供了有力的支持。

病例三:

一名72岁的患者疑似肝脏深部小肿瘤(大小9x8mm),因肿瘤较小,位置较深,且紧贴肝静脉,穿刺难度及风险较高。魏炜教授术前缜密规划穿刺点和穿刺路径,巧妙避开肝内血管,精准取材,病理诊断:肝组织及增生纤维组织内见中分化腺癌浸润转移,结合免疫组化染色结果及病史,考虑胃癌转移可能,为临床的下一步治疗提供可靠的依据。

疑似肝脏深部小肿瘤的超声引导下穿刺活检及穿刺病理结果

魏教授进行超声引导下经皮肝脏穿刺活检

病例四:

68岁的阿姨因临床诊断不明确,疑似胆囊肿瘤,难以确定治疗方案。经魏炜教授会诊后倾向于坏死性胆囊炎及邻近肝脏浸润,为明确诊断,魏炜教授在超声引导下对胆囊及邻近肝脏异常回声区进行了精准取材,病理诊断:胆囊穿刺未增生的纤维组织内局灶区域梭形细胞异型增生并大片状坏死;肝脏穿刺为肝脏组织肝细胞肿胀变性,部分肝细胞脂肪变性,汇管区纤维组织增生及小胆管增生,慢性炎细胞浸润;病理结果与超声会诊结果完全一致,展示了魏炜教授丰富的超声诊断经验和精准的判断力,提高了临床超声诊断的符合率,获得了临床和患者的信任。 

胆囊超声造影及穿刺病理结果

魏炜教授在重症医学科会诊病人

魏炜教授的加入,让西安交大一附院高标准技术快速平移到榆林。未来,榆林医院超声医学科将在魏炜的带领下开展更多复杂疑难超声介入诊疗技术,有力推动榆林医院超声医学科特别是介入超声诊疗中心快速高质量发展, 早日实现与西安交大一附院总院同质化水平,让群众在家门口就能享受到国家级的高水平诊疗服务。

魏炜 

驻西安交大一附院榆林医院专家,副主任医师,副教授。

西安交通大学医学博士,硕士研究生导师

中国超声医学工程学会介入委员会 委员;

中国医师协会介入医师分会超声介入专业委员会妇产介入学组 委员;

陕西超声医师协会 常委;

陕西省保健学会乳腺疾病专业委员会 常委;

陕西省医学会超声医学分会 委员;

陕西省超声医学工程学会介入委员会 委员;

陕西省第四届医鉴及第二届预鉴专家库专家;

西安市医学会超声医学分会 常委医疗工作情况