欢迎光临西安交通大学第一附属医院榆林医院网站!

今天是

您现在的位置: 首页> 新闻中心>新闻动态

榆林市第二医院内镜中心:消化道肿瘤早诊早治—食管篇

发布者:yley来源:榆林市第二医院发布时间:2020/6/5 17:53:00阅读:4798字体:默认

食管癌是临床常见的恶性肿瘤,我国超过90%的患者确诊时已为中晚期,5年生存率低于20%,而早期食管癌5年存活率达90%以上。早期诊治对食管癌患者的愈后具有重要意义。

早期诊断:NBI放大内镜联合卢戈碘染色

目前早期食管癌及癌前病变的诊断主要通过胃镜检查,普通电子胃镜下较微小黏膜病变不易显示,容易导致早期食管癌漏诊。正常食管鳞状上皮细胞糖原含量丰富,卢戈碘对糖原有亲和力从而使非角化的鳞状上皮染成深棕色,而癌变、不典型增生等病变组织糖原含量减少或消失,碘液混合后染色较浅或不染色,清楚地显示病变范围,提高了病变检出率。NBI放大内镜能更清晰地显示食管黏膜微血管结构并准确引导活检,联合镜下卢戈液染色有助于显示微小病灶,提高靶向活检准确率。

早期治疗:内镜下黏膜剥离术(ESD)

ESD是在内镜下黏膜切除术(EMR)基础上发展而来的新技术,内镜下使用高频电刀与专用器械,将胃肠道>2cm的病灶(包括胃肠道早期肿瘤)与其下方正常的黏膜下层逐步剥离,以达到将病灶完整切除的目的。

案例分享

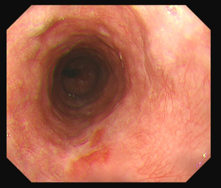
案例1.患者男性,60岁,以间断上腹部不适半年之主诉于我院内镜中心行胃镜检查示:距门齿30cm可见片状黏膜发红,病理示:食管黏膜高级别上皮内瘤变。遂于我院内镜中心行ESD手术治疗。术前检查无特殊病史。

术前内镜下白光示:不规则片状黏膜略粗糙,表面发红

内镜NBI示:病变黏膜呈茶褐色改变

放大内镜示:IPCL扩张、扭曲

卢戈碘染示:病变区域呈不染区,粉红征阳性

以Dual刀行病灶周边标记,以肾上腺亚甲蓝生理盐水黏膜下注射,抬举良好,予Dual刀行环周黏膜切开

予Dual刀行黏膜下剥离

完整剥离病灶

术后标本卢戈碘染示:病灶完整剥离

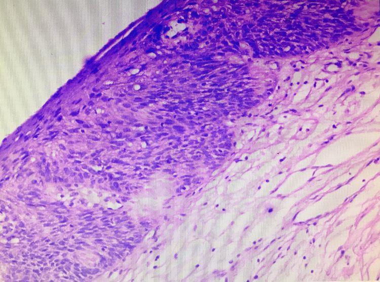
术后病理示:食管黏膜原位癌


案例2. 患者女性,64岁,无特殊不适,于我院体检行胃镜检查示:距门齿28cm可见片状糜烂,病理示:食管黏膜高级别上皮内瘤变。遂于我院内镜中心行ESD手术治疗。术前检查无特殊病史。

内镜NBI示:病变黏膜粗糙,呈茶褐色改变

以Dual刀行病灶周边标记

以肾上腺亚甲蓝生理盐水黏膜下注射,抬举良好,予Dual刀行环周黏膜切开

完整剥离病灶

术后标本卢戈碘染示:病灶完整剥离

术后病理示:食管黏膜高级别上皮内瘤变

讨论:两例患者的食管病变仅表现为局部发红、黏膜粗糙,白光内镜下不易识别,容易漏诊,经卢戈碘染色及NBI放大内镜观察,病变及范围显示较清晰。两例食管早癌首先在白光下被及时发现,联合卢戈碘染色及NBI放大内镜精细观察,病变及范围显示较清晰,及时行内镜下ESD术,对病变进行及时有效的治疗,术后病理提示基底切缘干净,为临床治愈性切除。


早期食管癌内镜下切除术主要包括内镜下黏膜切除术( EMR) 和内镜下黏膜剥离术(ESD)。与EMR相比,ESD 治疗早期食管癌的整块切除率和完全切除率更高、局部复发率更低。


国际、国内多项研究结果显示:ESD与传统外科手术相比,两者疗效相当,5 年生存率均可超过 90%,且ESD具有创伤小、并发症少、恢复快、费用低等优点。目前,国内外均以内镜下切除作为早期食管癌的首选治疗方式。