近日,榆林市第二医院脑科医院挽救了一名大面积脑梗死患者的生命,取得了良好的效果!
62岁的男性患者,在家中突发头晕目眩,视物模糊不清,走路不稳,行走偏斜,未引起足够重视。第二天,患者头晕症状加重,完全不能行走,双眼偏盲,说话笨拙,到榆林市第二医院求诊。
榆林二院脑科医院门诊检查后,发现该患者颅内大面积梗死病灶,脑血管多处狭窄堵塞,病情危重,紧急收住榆林二院脑科医院神经内科一病区。经医生妥善处理,稳定病情,决定尽快行“全脑血管造影术”,全面评估血管病变情况,制定佳治疗方案。
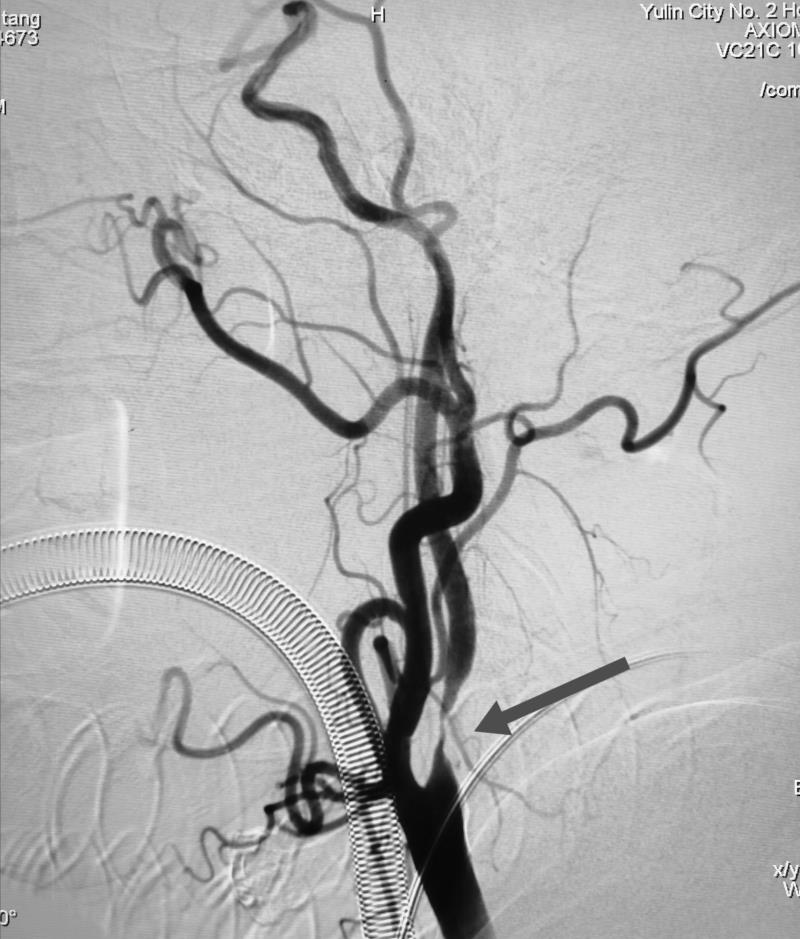
椎基底动脉重度狭窄
颈内动脉重度狭窄
经全脑血管造影术,发现患者右侧椎动脉V4段重度狭窄,正是病灶责任血管,同时发现右侧颈内动脉起始段重度狭窄。患者王某的情况岌岌可危,这两处血管狭窄随时可能闭塞,一旦闭塞,轻则出现严重残疾,完全丧失生活能力,重则很快危及生命,他的椎动脉远端狭窄处介入手术风险异常高,手术过程中很可能发生急性血管破裂或栓塞,形成严重的脑干出血或者梗死,造成死亡。患者右颈内动脉狭窄处于颈动脉窦部,是人体血压和心率的感应器,非常敏感,加之该患者平时就有心率缓慢的情况,术中很有可能心脏停搏造成死亡。
时间就是生命,针对这一情况,榆林二院脑科医院迅速组织院内脑科专家会诊,并向患者家属充分交代手术的必要性和获益情况,同时也交代了手术的难度和风险,征得家属同意后,立即为该患者进行手术治疗。
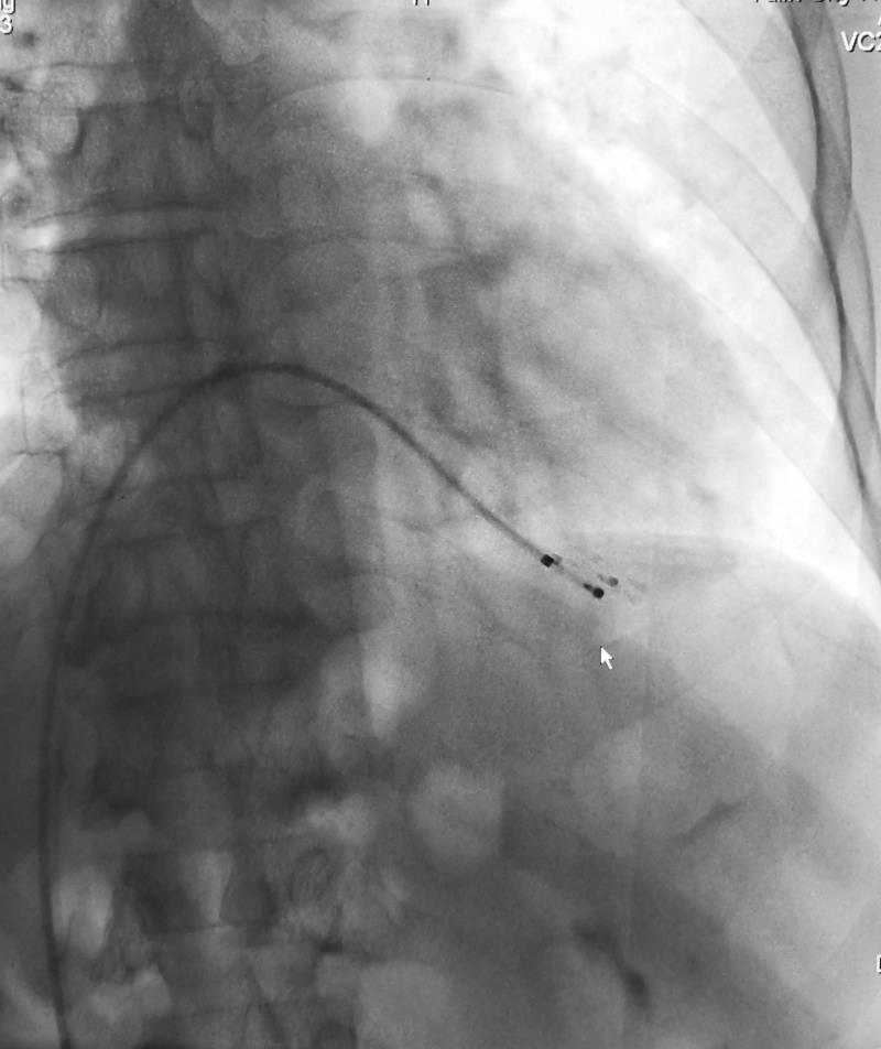
术中放置起搏器
术中,榆林二院心血管介入团队给患者放置心脏临时起搏器,为心脏保驾护航;麻醉科给予患者妥善全麻后,由榆林二院脑科医院神经内科一病区联合神经外科一病区,经过娴熟、精准的操作,顺利完成手术,术中术后未发生任何并发症。

术后,患者头晕、偏盲、视物模糊、行走偏斜、走路不稳,说话笨拙等症状很快得到缓解,生命体征稳定。
近年来,榆林市第二医院紧跟医学发展步伐,积极探索,不断进取,于2020年成立脑科医院,脑科医院各个学科设置合理,配置全面,内外科协同,治疗康复协同,各亚专业齐头并进,是医院重点发展的学科。可在本区域内实现对神经系统相关疾病一站式的诊疗服务,以优化的诊疗流程、合理的治疗方式,追求佳的治疗效果。着力打造技术品牌,成为榆林市乃至周边地区一流的颅脑神经疾病诊疗中心,力求让更多的患者从中获益!