欢迎光临西安交通大学第一附属医院榆林医院网站!

今天是

您现在的位置: 首页> 新闻中心>新闻动态

榆林二院成功开展脑心同治介入手术

发布者:yley来源:榆林市第二医院发布时间:2020/9/1 19:16:00阅读:2645字体:默认

近日,榆林二院心内科介入团队和神经介入团队共同为一位患者实施了心脑同治介入手术,取得了良好的临床效果。

今年70岁的患者因“发作性胸闷、胸痛3年,加重伴头晕3周”入住我院,入院诊断为冠状动脉粥样硬化心脏病、不稳定心绞痛、脑梗死、颅内动脉重度狭窄、肺气肿等。拟行心脑血管联合诊疗。

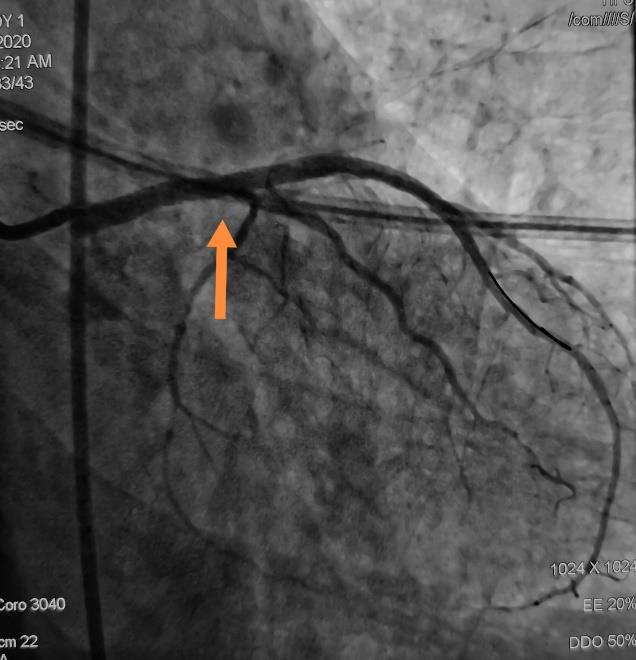
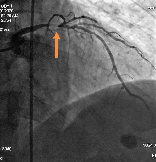
冠脉动脉重度狭窄支架植入术前术后DSA

心内科介入团队为该患者先行冠脉造影提示左侧冠状动脉主干重度狭窄,先行支架植入术。然后,神经介入团队行全脑血管造影术,提示左侧椎动脉重度狭窄,遂行椎动脉支架植入术。术后患者胸闷、胸痛症状消失,头晕症状改善,目前已康复出院。

椎动脉重度狭窄支架植入术前术后DSA

心脑血管疾病是中老年人的常见病、多发病,已成为危害人类健康的头号杀手。动脉粥样硬化是心血管疾病(以冠心病为主)和脑血管疾病(以脑卒中为主)的主要病因,也是两类疾病的共同病理变化基础。预防和治疗动脉粥样硬化和血管狭窄便成为治疗心脑血管疾病的共同基础。

榆林二院脑科医院作为国家高级卒中中心、中国综合卒中中心、国家脑卒中筛查与防治基地,率先在区域内开展复杂心脑血管疾病的介入联合诊疗(脑心同治),比如心脑血管联合造影,冠脉支架与脑血管支架植入,起搏器辅助下的颈动脉支架植入术等,均取得良好效果。